Dezvoltă-ți potențialul artistic cu ajutorul tutorialelor HeraCeram cre-active, care includ sfaturi și trucuri oferite de experți pentru realizarea unor restaurări personalizate, de excepție.
Colorare personalizată a incisivului central într-o singură ardere – Tutorial Video
Finisarea dinților posteriori – colorare standard și personalizată în 1–3 arderi
Concept de Colorare Personalizată
Structuri din zirconiu multistrat – gata pentru individualizare
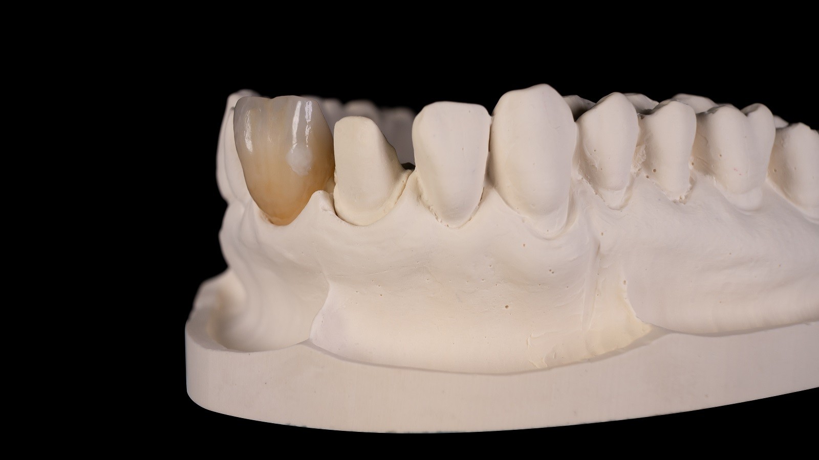
Intensificarea culorii în zona cervicală: colorarea porțiunii inferioare a stratului de dentină cu HeraCeram cre-active 2D Body A, aplicarea masei HeraCeram cre-active 2D Peanut în zona cervicală și trasarea orizontală a unor linii fine în zona proximală cu HeraCeram cre-active 2D Coffee.
Crearea transparenței și a contrastului în zona incizală: obținerea efectului de transparență în zona incizală cu HeraCeram cre-active 2D Aubergine, realizarea structurii de mameloane cu HeraCeram cre-active 2D MD3 și accentuarea acesteia cu HeraCeram cre-active 2D VL3.
Ajustarea translucenței și a contrastului în zona incizală: consolidarea structurii mameloanelor cu HeraCeram cre-active 2D Anthracite și HeraCeram cre-active 2D Pacific, crearea fisurilor de smalț cu HeraCeram cre-active 2D Milk, accentuarea translucenței în zona incizală cu HeraCeram cre-active 2D Anthracite, obținerea efectului de transparență pe muchia incizală mezială cu HeraCeram cre-active 2D Pacific și accentuarea culorii în zona incizală cu HeraCeram cre-active 2D Amber.
Fisuri de smalț și pete cretoase: crearea petelor cretoase de smalț și a fisurilor de smalț cu HeraCeram cre-active 2D Milk.
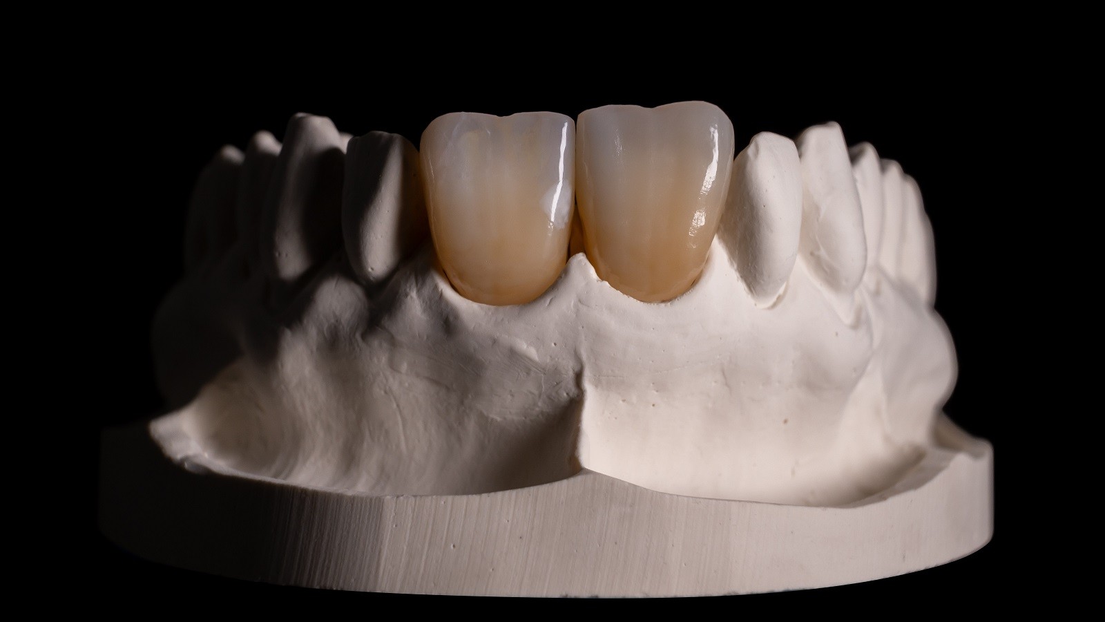
Rezultatul final după arderea HeraCeram cre-active 2D.
Accentuarea fisurilor de smalț și a petelor cretoase: crearea fisurilor de smalț cu HeraCeram cre-active 2D Milk și obținerea petelor cretoase de smalț prin aplicarea glazurii HeraCeram cre-active, în care este încorporat HeraCeram cre-active 2D Milk.