Marketing
+40 757 071 727Sales
+40 757 071 727Production
+40 757 071 727
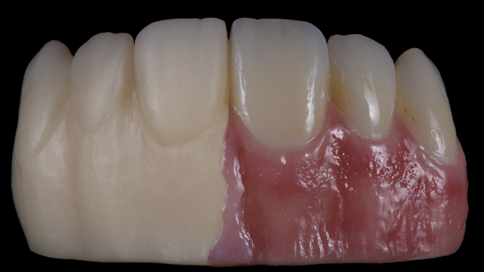
Cu HeraCeram cre-active obții cu ușurință restaurări spectaculoase, cu un aspect natural. Dezvoltat în strânsă colaborare cu tehnicieni dentari, acest sistem inovator îmbină libertatea creativă cu eficiența necesară în laborator, permițând caracterizarea detaliată a componentelor de gingie și dinte (estetică roz și estetică albă) pentru lucrări din zirconiu monolitic, disilicat de litiu și toate ceramicele de stratificare HeraCeram.
Cu ajutorul componentelor ceramice lichide 2D și 3D de înaltă calitate, poți obține cu ușurință efecte optice naturale – jocuri de lumină dinamice, texturi de suprafață realiste și grade variate de transluciditate – într-un mod eficient, controlabil și ușor de reprodus.
Beneficii
Perfecțiune tehnică
Perfecțiune opticӑ
Aplicare și tehnici
Descoperă consistența ușor de utilizat și procesarea facilă a componentelor cre-active. Învață pas cu pas tehnicile de lucru – de la colorarea standard până la micro-stratificarea hibridă de înaltă precizie. Tutorialele video interactive oferă informații valoroase despre cele mai importante aplicații.
HeraCeram cre-active în practică
Află perspective exclusive direct de la tehnicienii dentari care au contribuit la dezvoltarea și testarea sistemului HeraCeram cre-active – și descoperă cum le-a revoluționat fluxul de lucru, permițându-le să realizeze restaurări spectaculoase, cu aspect natural, într-un mod simplu și eficient.
Tabel de ardere
| HeraCeram | HeraCeram Saphir |
HeraCeram Sun |
HeraCeram Zirkonia | HeraCeram Zirkonia 750 pentru disilicat de litiu | HeraCeram Zirkonia 750 pentru dioxid de zirconiu | 1–4 unități: disilicat de litiu, zirconiu dioxid monolitic | 4 sau mai multe unități: zirconiu dioxid monolitic | |||||||
|---|---|---|---|---|---|---|---|---|---|---|---|---|---|---|
| Temperatură de început | [°C] | 600 | 600 | 600 | 600 | 400 | 500 | 450 | 450 | |||||
| Uscare | [min] | 5 | 5 | 5 | 5 | 5 | 5 | 5 | 8 | |||||
| Preîncălzire | [min] | 1 | 1 | 1 | 1 | 1 | 1 | 1 | 4 | |||||
| Creșterea temperaturii | [°C/min] | 100 | 100 | 100 | 100 | 60 | 60 | 55 | 45 | |||||
| Temperatură finală | [°C] | 850 | 850 | 740 | 850 | 725 | 725 | 740 | 740 | |||||
| Timp de menținere | [min] | 0,5-1 | 0,5-1 | 0,5-1 | 0,5-1 | 0,5-1 | 0,5-1 | 1 | 1 | |||||
| Activare vid | [°C] | - | - | - | - | - | --- | 650 | 650 | |||||
| Dezactivare vid | [°C] | - | - | - | - | - | --- | 700 | 700 | |||||
|
1–4 unități: HeraCeram, HeraCeram Saphir, HeraCeram Sun, HeraCeram Zirkonia, HeraCeram Zirkonia 750 pentru disilicat de litiu, HeraCeram Zirkonia 750 pentru dioxid de zirconiu, disilicat de litiu, zirconiu dioxid monolitic. |
4 sau mai multe unități: HeraCeram, HeraCeram Saphir, HeraCeram Sun, HeraCeram Zirkonia, HeraCeram Zirkonia 750 pentru dioxid de zirconiu, zirconiu dioxid monolitic |
|||||||||||||
|---|---|---|---|---|---|---|---|---|---|---|---|---|---|---|
| Temperatură de început | [°C] | 450 | 450 | |||||||||||
| Uscare | [min] | 8 | 10 | |||||||||||
| Preîncălzire | [min] | 2 | 5 | |||||||||||
| Creșterea temperaturii | [°C/min] | 55 | 30 | |||||||||||
| Temperatură finală | [°C] | 740 | 740 | |||||||||||
| Timp de menținere | [min] | 1 | 1 | |||||||||||
| Activare vid | [°C] | 650 | 650 | |||||||||||
| Dezactivare vid | [°C] | 730 | 730 | |||||||||||
ATENȚIE : Temperaturile de ardere indicate au caracter orientativ. Pot exista variații în funcție de performanța cuptorului, iar valorile pot necesita ajustări corespunzătoare.
| Bleach | A1 | A2 | A3 | A3,5 | A4 | B1 | B2 | B3 | B4 | C1 | C2 | C3 | C4 | D2 | D3 | D4 | ||
|---|---|---|---|---|---|---|---|---|---|---|---|---|---|---|---|---|---|---|
| 2D | Body stains | - |
2D B-A |
2D B-A |
2D B-A | 2D B-A | 2D B-A | 2D B-B | 2D B-B | 2D B-B | 2D B-B | 2D B-C | 2D B-C | 2D B-C | 2D B-C | 2D B-D | 2D B-D | 2D B-D |
| 2D | Mamelon- / or Secondary Dentine |
2D MD1 |
2D MD1 |
2D MD1 |
2D SD2 |
2D SD2 |
2D SD2 |
2D MD2 |
2D MD2 |
2D MD3 |
2D MD3 |
2D MD2 |
2D SD1 |
2D SD2 |
2D SD2 |
2D MD1 |
2D MD3 |
2D SD1 |
| 2D | Value |
2D VL1 |
2D VL1 |
2D VL1 |
2D VL3 |
2D VL3 |
2D VL3 |
2D VL1 |
2D VL1 |
2D VL3 |
2D VL3 |
2D VL1 |
2D VL1 |
2D VL3 |
2D VL3 |
2D VL1 |
2D VL3 |
2D VL3 |
| 3D | Enamel |
3D OS-BL |
3D OS-BL |
3D OS-BL |
3D OS |
3D OS |
3D OS |
3D OS-BL | 3D OS-BL |
3D OS |
3D OS |
3D OS-BL |
3D OS |
3D OS |
3D OS |
3D OS-BL |
3D OS |
3D OS |
| 3D | Body Correction |
3D BC BL |
3D BC-A |
3D BC-A |
3D BC-A |
3D BC-A |
3D BC-A |
3D BC-B |
3D BC-B |
3D BC-B |
3D BC-B |
3D BC-C |
3D BC-C |
3D BC-C |
3D BC-C |
3D BC-D |
3D BC-D |
3D BC-D |
Seturi și accesorii HeraCeram cre-active
Seturi
4X 3D STRUCTURE PASTES
16X 2D STAINS / GLAZE PASTES
2X LIQUID CAL
2X BRUSHES
1X SHADE GUIDE
1x HC cre-active Shade-Sticker
1x HeraCeram Paste Opaque Brush
1x HeraCeram Stains Brush
1x HC cre-act. 3D Opal Transpa OT Y, 2ml
1x HC cre-act. 3D Opal Transpa OT A, 2ml
1x HC cre-act. 3D Opal Incisal OS, 2ml
1x HC cre-act. 3D Opal Incisal OS BL, 2ml
1x HC cre-act. 2D Enhancer EH Bright, 2ml
1x HC cre-act. Glaze Paste, 3ml
1x HC cre-act. Glaze Fluo Paste, 3ml
1x HC cre-act. 2D Milk, 2ml
1x HC cre-act. 2D Espresso Powder, 3g
1x HC cre-act. 2D Body A, 2ml
1x HC cre-act. 2D Body B, 2ml
1x HC cre-act. 2D Cacao, 2ml
1x HC cre-act. 2D Peanut, 2ml
1x HC cre-act. 2D Amber, 2ml
1x HC cre-act. 2D Pacific, 2ml
1x HC cre-act. 2D Stone, 2ml
1x HC cre-act. 2D Aubergine, 2ml
1x HC cre-act. 2D Curry, 2ml
1x HC cre-act. 2D Mamelon Dentine MD1, 2ml
1x HC cre-act. 2D Mamelon Dentine MD2, 2ml
2x HC cre-act. Liquid CAL, 2ml
12X 3D STRUCTURE PASTES
11X 2D STAINS / GLAZE PASTES
1X LIQUID CAL
2X BRUSHES
1X SHADE GUIDE
1x HC cre-active Shade-Sticker
1x HeraCeram Paste Opaque Brush
1x HeraCeram Stains Brush
1x HC cre-act. 3D Opal Transpa OT 1, 2ml
1x HC cre-act. 3D Opal Transpa OT 10, 2ml
1x HC cre-act. 3D Opal Transpa OT Y, 2ml
1x HC cre-act. 3D Opal Transpa OT A, 2ml
1x HC cre-act. 3D Opal Transpa OT B, 2ml
1x HC cre-act. 3D Opal Incisal OS, 2ml
1x HC cre-act. 3D Opal Incisal OS BL, 2ml
1x HC cre-act. 2D Mamelon Dentine MD1, 2ml
1x HC cre-act. 2D Mamelon Dentine MD2, 2ml
1x HC cre-act. 2D Mamelon Dentine MD3, 2ml
1x HC cre-act. 2D Dec. Dentine SD1, 2ml
1x HC cre-act. 2D Dec. Dentine SD2, 2ml
1x HC cre-act. 2D Value VL1, 2ml
1x HC cre-act. 2D Value VL3, 2ml
1x HC cre-act. 2D Enhancer EH Bright, 2ml
1x HC cre-act. 3D Body Correction BL, 2ml
1x HC cre-act. 3D Body Correction A, 2ml
1x HC cre-act. 3D Body Correction B, 2ml
1x HC cre-act. 3D Body Correction C, 2ml
1x HC cre-act. 3D Body Correction D, 2ml
1x HC cre-act. 2D Milk, 2ml
1x HC cre-act. Glaze Paste, 3ml
1x HC cre-act. Glaze Fluo Paste, 3ml
1x HC cre-act. Liquid CAL, 2ml
22X 2D STAINS / GLAZE PASTES
1X LIQUID CAL
2X BRUSHES
1X SHADE GUIDE
1x HC cre-active Shade-Sticker
1x HeraCeram Glaze Brush
1x HeraCeram Stains Brush
1x HC cre-act. 2D Body A, 2ml
1x HC cre-act. 2D Body B, 2ml
1x HC cre-act. 2D Body C, 2ml
1x HC cre-act. 2D Body D, 2ml
1x HC cre-act. 2D Coffee, 2ml
1x HC cre-act. 2D Avocado, 2ml
1x HC cre-act. 2D Peanut, 2ml
1x HC cre-act. 2D Amber, 2ml
1x HC cre-act. 2D Pacific, 2ml
1x HC cre-act. 2D Aubergine, 2ml
1x HC cre-act. 2D Vanilla, 2ml
1x HC cre-act. 2D Cacao, 2ml
1x HC cre-act. 2D Curry, 2ml
1x HC cre-act. 2D Basic Yellow, 2ml
1x HC cre-act. 2D Basic Anthracite, 2ml
1x HC cre-act. 2D Basic Red, 2ml
1x HC cre-act. 2D Milk, 2ml
1x HC cre-act. 2D Espresso Powder, 3g
1x HC cre-act. Glaze Paste, 3ml
1x HC cre-act. Glaze Fluo Paste, 3ml
1x HC cre-act. 2D Enhancer EH Bright, 2ml
1x HC cre-act. Liquid CAL, 2ml
4X 3D STRUCTURE PASTES
16X 2D STAINS / GLAZE PASTES
2X LIQUID CAL
2X BRUSHES
1X SHADE GUIDE
1x HC cre-active Shade-Sticker
1x HeraCeram Paste Opaque Brush
1x HeraCeram Stains Brush
1x HC cre-act. Gingiva 2D G2, 2ml
1x HC cre-act. Gingiva 2D G4, 2ml
1x HC cre-act. Gingiva 2D G5, 2ml
1x HC cre-act. Gingiva 2D G6, 2ml
1x HC cre-act. Gingiva 2D G7, 2ml
1x HC cre-act. Gingiva 2D G8, 2ml
1x HC cre-act. 2D Salsa, 2ml
1x HC cre-act. 2D Hazel, 2ml
1x HC cre-act. 2D Mauve, 2ml
1x HC cre-act. 2D Deepblue, 2ml
1x HC cre-act. 2D Canyon, 2ml
1x HC cre-act. 2D Basic Yellow, 2ml
1x HC cre-act. 2D Basic Anthracite, 2ml
1x HC cre-act. 2D Basic Red, 2ml
1x HC cre-act. 2D Milk, 2ml
1x HC cre-act. 2D Espresso Powder, 3g
1x HC cre-act. Gingiva 3D G1, 2ml
1x HC cre-act. Gingiva 3D G2-4, 2ml
1x HC cre-act. Gingiva 3D G5, 2ml
1x HC cre-act. Gingiva 3D G7-8, 2ml
1x HC cre-act. Glaze Paste, 3ml
2x HC cre-act. Liquid CAL, 2ml
Ghiduri de nuanțe
HeraCeram cre-active Shade Guide Basic-Set
➤ Art.-No. 66094150
HeraCeram cre-active Shade Guide Matrix
➤ Art.-No. 66094151
HeraCeram cre-active Shade Guide 2D Stains
➤ Art.-No. 66094152
HeraCeram cre-active Shade Guide Gingiva
➤ Art.-No. 66094154
Pensule
Instrumentul potrivit este esențial pentru un mod de lucru ergonomic. Pensulele noastre sunt adaptate fiecărei etape de procesare în parte.
Material de glazurare și lichid
Un singur lichid pentru amestecare, diluare și reîmprospătare.
Întrebări frecvente
Proprietățile produsului
| HeraCeram cre-active 2D / Glaze / Glaze Fluo | ||||||||||||||
|---|---|---|---|---|---|---|---|---|---|---|---|---|---|---|
| CTE (25-400°) | 9,0 ± 0,3 μm/m・K | |||||||||||||
| CTE (25-500°) | not available | |||||||||||||
| TG | 490° ± 20°C | |||||||||||||
| HeraCeram cre-active 3D | ||||||||||||||
|---|---|---|---|---|---|---|---|---|---|---|---|---|---|---|
| CTE (25-400°) | 9,2 ± 0,3 μm/m・K | |||||||||||||
| CTE (25-500°) | not available | |||||||||||||
| TG | 490° ± 20°C | |||||||||||||
Consistența produsului
Amestecă bine componentele HeraCeram cre-active 2D, 3D sau Glaze / Glaze Fluo (sub formă de pastă) înainte de fiecare utilizare, folosind o spatulă fără metal! Din cauza bazei ceramice, pasta poate sedimenta din lichid. Nu turna surplusul de lichid din recipient – încorporează-l din nou în pastă. Prin mișcare, pasta devine mai moale și ușor de modelat.
Consistența materialului poate varia în funcție de temperatura ambientală. Pasta HeraCeram cre-active 2D și 3D poate fi ajustată individual prin adăugarea atentă a lichidului HeraCeram cre-active (CAL) sau prin combinare cu componentele sub formă de pastă HeraCeram cre-active Glaze / Glaze Fluo.
Dacă, în urma depozitării prelungite, pasta HeraCeram cre-active 2D, 3D sau Glaze / Glaze Fluo devine mai uscată și mai fermă, consistența poate fi reglată din nou prin adăugarea controlată a lichidului HeraCeram cre-active (CAL).
Lichid
Se utilizează exclusiv HeraCeram cre-active Liquid (CAL). Nu este recomandată folosirea lichidelor de colorație sau a altor lichide de diluare din game ceramice fabricate de alți producători.
Consistența pastelor HeraCeram cre-active 2D și 3D poate fi ajustată individual prin adăugarea controlată a lichidului HeraCeram cre-active (CAL) sau prin combinare cu componentele pastă HeraCeram cre-active Glaze / Glaze Fluo.
Aplicarea produsului
Suprafața restaurării care urmează a fi personalizată trebuie pregătită prin conturare și texturare, utilizând instrumente rotative indicate sau abrazive diamantate. Zirconiul trebuie prelucrat după frezare, iar disilicatul de litiu după frezare sau presare, conform instrucțiunilor de utilizare ale producătorului. Dacă nu se specifică altfel, tratarea zirconului se face prin sablare cu oxid de aluminiu (Al₂O₃) de unică folosință, cu granulație de 110–125 μm, iar disilicatul de litiu cu 50 μm, la o presiune recomandată de 2 bari. După sablare, îndepărtează praful de șlefuire și impuritățile de pe suprafață, de exemplu cu jet de abur.
Componentele HeraCeram cre-active 3D se aplică în straturi de 0,1–0,3 mm peste suprafața deja colorată sau glazurată. Pentru grosimi mai mari de 0,3 mm pe zirconiu sau disilicat de litiu, se recomandă utilizarea ceramicii de stratificare potrivite tipului de infrastructură (de exemplu, HeraCeram Zirkonia 750).
Restaurarea complet prelucrată poate fi personalizată cu masele HeraCeram cre-active 2D, Glaze și Glaze Fluo, care pot fi combinate între ele. Amestecă bine toate pastele cu o spatulă nemetalică înainte de utilizare – din cauza bazei ceramice, pot apărea sedimente. HeraCeram cre-active 2D Espresso și componentele Glaze / Glaze Fluo sunt disponibile și sub formă de pulbere. Pentru obținerea pastei, se amestecă pulberile ceramice cu lichidul HeraCeram cre-active (CAL). Umezirea suprafeței ceramice cu HeraCeram cre-active Liquid (CAL) îmbunătățește vizibil aplicarea și percepția culorii.
Înainte de aplicarea masei 3D, suprafața trebuie să fi fost deja umedă și arsă cu un strat anterior de HeraCeram cre-active 2D sau Glaze / Glaze Fluo. Alternativ, pe zirconiu sau disilicat de litiu se poate aplica cu pensula un strat subțire și uniform de HeraCeram Zirkonia 750 Adhesive („wash”) și se arde sub vid (vezi tabelul de ardere din instrucțiunile HeraCeram Zirkonia 750). Amestecă bine masele 3D cu o spatulă nemetalică înainte de utilizare. Apoi aplică masa 3D dorită și modeleaz-o cu o pensulă curată în forma dorită. Componentele pot fi combinate între ele. Consistența pastelor HeraCeram cre-active 3D poate fi ajustată prin adăugarea atentă a lichidului CAL sau a componentelor Glaze / Glaze Fluo. Grosimea optimă a stratului pentru masele 3D este între 0,1 și maxim 0,3 mm.
Gradul de glazurare și textura finală a suprafeței ceramice sunt determinate în timpul arderii, în funcție de temperatură și de timpul de menținere. Prin urmare, valorile din tabelul de ardere sunt orientative și pot necesita ajustări pentru a atinge rezultatul dorit. Pentru detalii, consultă tabelele generale de ardere.
Mediul de lucru
Asigură-te că pensulele, spatula nemetalică și spațiul de lucru sunt curate. Orice contaminare externă poate influența negativ rezultatul estetic după ardere. Atenție la riscul de impurități!
Depozitare
nchide bine recipientul după fiecare utilizare pentru a evita contaminarea sau uscarea produsului. Nu sunt necesare condiții speciale de depozitare.
Dacă, în urma depozitării prelungite, consistența pastelor HeraCeram cre-active 2D, 3D sau Glaze / Glaze Fluo devine mai uscată și mai rigidă, aceasta poate fi ajustată prin adăugarea atentă a lichidului HeraCeram cre-active (CAL).
Contact
Creat pentru a simplifica fluxul de lucru al amprentării cu precizie, eficiență și ușurință.